Representative Image (Photo: IANS) 
Wellbeing

New retinal implant restores vision in patients with irreversible blindness

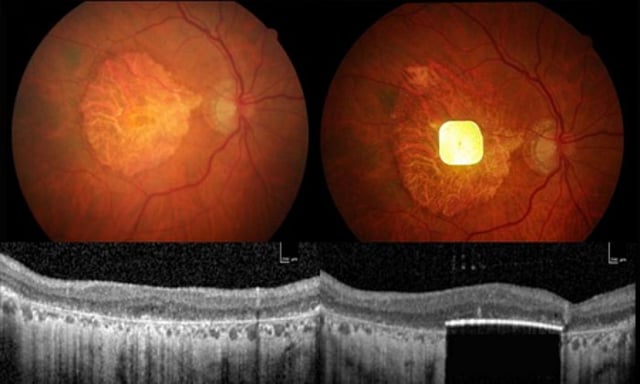
Advanced atrophic AMD, also known as geographic atrophy (GA), is the leading cause of irreversible blindness in older adults, affecting more than 5 million people worldwide.

IANS

NEW DELHI: A wireless retinal implant showed potential to restore central vision in patients with advanced age-related macular degeneration (AMD), according to clinical trial results published on Monday.

Advanced atrophic AMD, also known as geographic atrophy (GA), is the leading cause of irreversible blindness in older adults, affecting more than 5 million people worldwide.

The study, led by researchers from the University College London, University of Pittsburgh, and Stanford Medicine revealed that 27 out of 32 participants had regained the ability to read a year after receiving the device.

The device, called PRIMA, is the first eye prosthesis to restore functional sight to patients with incurable vision loss, giving them the ability to perceive shapes and patterns -- also known as form vision.

“It’s the first time that any attempt at vision restoration has achieved such results in a large number of patients,” said José-Alain Sahel, chair of the Department of Ophthalmology at the University of Pittsburgh’s School of Medicine, US.

“More than 80 per cent of the patients were able to read letters and words, and some of them are reading pages in a book,” Sahel said.

The study, published in the New England Journal of Medicine, showed that over 81 per cent patients achieved clinically meaningful improvements in visual acuity while 84 per cent reported using prosthetic vision at home for reading numbers or words.

On average, participants improved by 25 letters -- about five lines -- on a standard eye chart when using the device. More than 80 per cent of participants gained 10 or more letters.

As AMD progresses, the centre of vision becomes increasingly blurry due to the irreversible damage to the light-sensing cells in the central part of the retina. In a healthy retina, those cells capture ambient light from the environment and transform it into pulses of electricity, which are then sent to nerve cells lining the back of the eye and, eventually, to the brain through the optic nerve.

The device called PRIMA replaces these lost photoreceptors with a 2×2 mm wireless implant that converts light into electrical signals to stimulate remaining retinal cells.

A camera mounted on specialised glasses captures images and projects them onto the implant using invisible near-infrared light. The implant then converts the light into electrical pulses, restoring the flow of visual information to the brain. Patients can adjust zoom and contrast settings to enhance functional vision.

After one year of using the system, all procedure-related adverse events had subsided, and the majority of participants showed significant improvement in their ability to read letters on the eye chart. One participant improved by as many as 59 letters, or 12 lines.

2026 TN elections | DMK losing ground, says Edappadi K Palaniswami

2026 TN elections | EC adds Vijay, Sasi to star campaigner list

2026 TN elections | DMK alliance talks enter final lap; hitches over a few seats

Iran says nuclear facilities have been targeted after Israel says attacks 'will escalate and expand'

Commercial LPG allocation raised to 70%, subject to conditions