

CHENNAI: India is home to the second largest diabetic population, next only to China. In total, 420 million people are diagnosed with diabetes globally. 90 million of them have diabetic retinopathy which remains reason for over 2.5 percent of all blindness in the world.
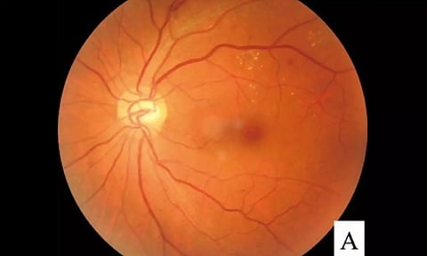
“Regular screening and early detection of the risks can help crores of Indians to manage diabetic retinopathy. Keeping blood sugar, blood pressure, and cholesterol in control; weight management, healthy food, regular exercise, and leading a stress-free life can go a long way in diabetic patients preserving vision,” said Dr Triveni, senior consultant, General Ophthalmology, and Cataract Surgeon, Dr Agarwals Eye Hospital, Chennai. The diabetic retinopathy, which is asymptomatic at early stages, leads to abnormal growth of blood vessels in the eyes which affects the vision by causing internal bleeding, blocking of fluids, retinal detachment and optic nerve damage, added Dr Triveni.
In view of the theme of “Access to Diabetes Care” for the World Diabetes Day, 2023, which falls on November 14, Dr Agarwal’s Eye Hospital is organizing a 2-week-long free ophthalmic consultation in the city for diabetic patients who are 50 years or above, from November 14.
According to a recent study, Spectrum of Eye Disorders in Diabetes (SPEED), 2020, about 32 percent of diabetics have diabetic retinopathy. Considering that India is home to close to 80 million diabetes patients, about 25 million people must have diabetic retinopathy. However, a vast portion of the diabetic population do not consider regular eye check-ups due to lack of awareness that diabetes could affect the eyes as much as it does the heart or kidney.
Symptoms: Blurred vision, Floating of dark spots or strings in vision
Points to remember
1. Type 1 diabetes patients must do eye screening every year from 5th year of diagnosis
2. Type 2 diabetes patients must do eye check-up every year after diagnosis
3. Double diabetes patients must consult doctor immediately after incidence of vision issues Points