Begin typing your search...
Showing results for "#breast cancer detection"
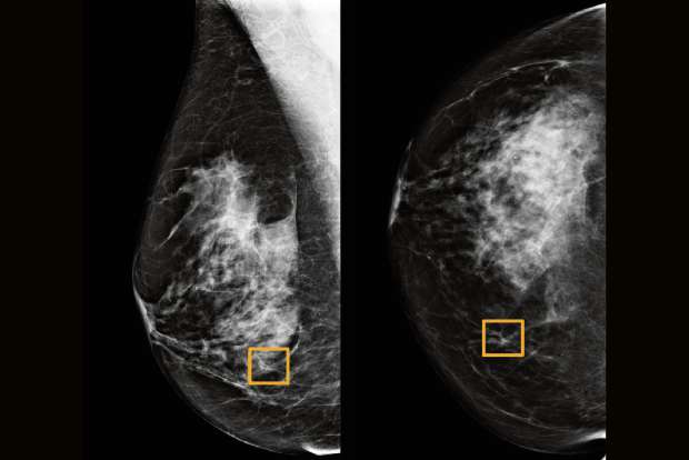
Study finds how new technique transform breast cancer detection
Mammography is a useful screening tool for early identification of breast cancer; however, its sensitivity is lowered in dense tissue, caused by the...



